Curitiba - PR
Converse com um de nossos Dentistas
A gengivectomia é uma cirurgia odontológica que remove o excesso de tecido gengival para melhorar a estética e a saúde bucal, sendo utilizada para tratar gengivite, periodontite e outras condições. O objetivo é remover o tecido doente ou inflamado, restaurando a saúde e o aspecto estético dos dentes e gengivas. O procedimento é simples e pode ser feito em consultório com anestesia local, mas é importante seguir as orientações do dentista para uma boa recuperação.
A gengivoplastia é um procedimento cirúrgico que tem como objetivo melhorar a aparência da gengiva, tornando-a mais simétrica e estética. Através de técnicas de remoção e modelagem da gengiva, é possível corrigir problemas estéticos como gengivas excessivamente grandes ou desiguais. A gengivoplastia pode ser realizada isoladamente ou em conjunto com outros procedimentos, como a colocação de implantes dentários ou o tratamento de cáries.
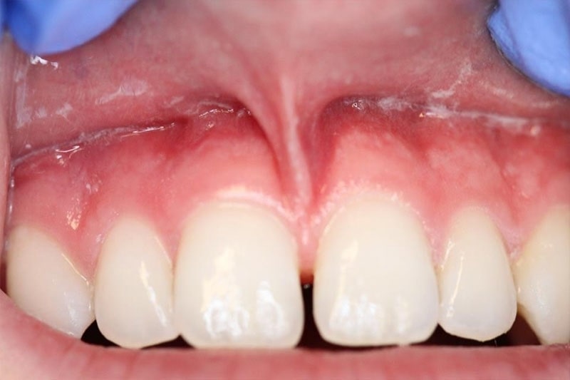
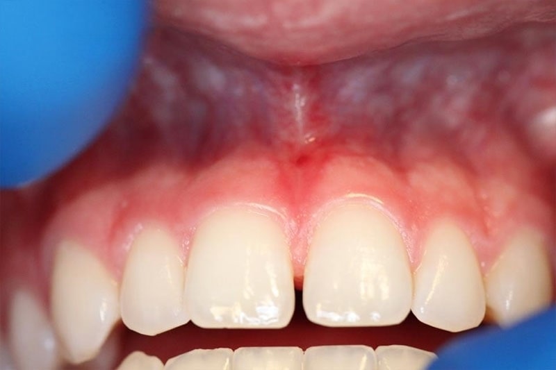
A remoção de bridas e freios é um procedimento odontológico que visa remover o excesso de tecido fibroso que se forma na região interna dos lábios e bochechas, impedindo o correto posicionamento dos dentes. O processo é feito com anestesia local e pode ajudar a melhorar a aparência do sorriso e a função mastigatória do paciente. É uma técnica simples e rápida que não causa grandes desconfortos ou dores no pós-operatório.
O tratamento periodontal aborda doenças da gengiva e tecidos de suporte dos dentes, prevenindo a perda dentária e melhorando a saúde bucal. Envolve técnicas não cirúrgicas, como raspagem e alisamento radicular, e cirúrgicas, como retalhos periodontais e enxertos ósseos. Pode ser combinado com outros procedimentos odontológicos, como implantes e restaurações, proporcionando reabilitação completa e recuperando a capacidade de sorrir e mastigar com segurança e conforto.

A gengivite aguda é uma inflamação aguda da gengiva que é causada pela placa bacteriana acumulada nos dentes e gengivas.

A gengivite crônica é uma inflamação das gengivas que persiste por um longo período de tempo.

A periodontite é uma doença inflamatória que afeta as estruturas de suporte dos dentes, incluindo as gengivas, os ligamentos periodontais e o osso alveolar.

A periodontite crônica é uma doença inflamatória crônica que afeta os tecidos de suporte dos dentes, incluindo a gengiva, o osso alveolar e o ligamento periodontal.

A doença periodontal necrosante é uma infecção grave das gengivas causada por bactérias que podem levar à morte dos tecidos gengivais e do osso alveolar.
FAQ
Você está procurando um periodontista qualificado para realizar o seu tratamento periodontal em Curitiba. Na Lidery Odontologia podemos te atender. Nossa equipe ajudará você a responder todas as suas dúvidas e a agendar uma consulta com nosso Periodontista. Nosso periodontista Dr Saleiman Habib realiza um tratamento periodontal inovador utilizando laserterapia para auxiliar no tratamento.
Transformações incríveis com nossos tratamentos odontológicos personalizados





Descubra mais sobre sua saude bucal com nossas ferramentas interativas