Curitiba - PR
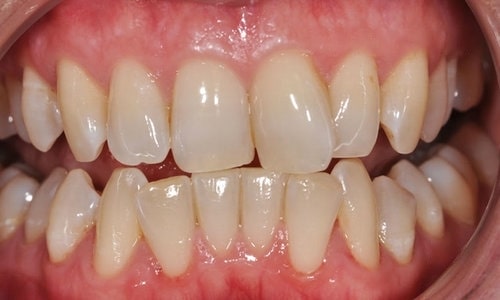
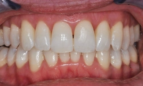
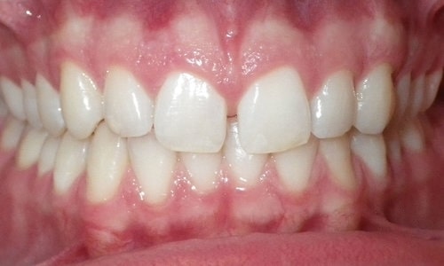
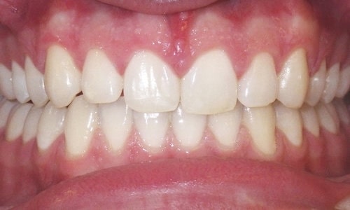
Os alinhadores são uma opção de tratamento ortodôntico estético que consiste em um conjunto de placas transparentes removíveis, projetadas para mover gradualmente os dentes para a posição correta. Na Lidery Odontologia, os alinhadores são feitos sob medida para cada paciente e são trocados a cada duas semanas para garantir o alinhamento adequado dos dentes. Este tratamento é indicado para correção de problemas ortodônticos leves a moderados, tais como dentes tortos, espaçamentos e apinhamentos. Além de proporcionar um sorriso mais bonito, os alinhadores também melhoram a saúde bucal e a mastigação.
Converse com um de nossos Dentistas
Entendemos que cada paciente é único e merece um tratamento personalizado, por isso trabalhamos com as melhores marcas do mercado de alinhadores transparentes, incluindo Invisalign, ClearCorrect e Cristal Aligner. Nosso objetivo é oferecer a melhor opção de tratamento para cada caso, levando em consideração fatores como complexidade, custo-benefício e necessidades específicas do paciente.
Na Lidery Odontologia, você pode ter certeza de que está em boas mãos. Nossos especialistas estão sempre atualizados com as últimas inovações e tecnologias no campo da ortodontia, garantindo resultados precisos e eficientes. Além disso, nossa equipe está pronta para fornecer um atendimento acolhedor e solucionar suas dúvidas durante todo o processo de tratamento.

Invisalign é líder no mercado de alinhadores transparentes, com vasta experiência e inovação no campo da ortodontia. A marca utiliza a tecnologia SmartTrack, garantindo maior controle e precisão no movimento dos dentes. Com uma ampla base de pacientes e profissionais capacitados, o Invisalign é mais indicado para casos complexos que exigem muita movimentação dentária, atingindo resultados altamente satisfatórios.
ClearCorrect, uma empresa associada à Neodent, é uma opção popular e acessível no mercado de alinhadores transparentes. Com um histórico comprovado e tecnologia confiável, a ClearCorrect se destaca pela flexibilidade nos planos de tratamento. É mais indicada para casos intermediários, onde as movimentações dentárias são mais básicas e necessitam de poucos ajustes.
Cristal Aligner é uma empresa brasileira que apresenta excelentes resultados para casos mais simples. É mais indicada para situações em que um ou dois dentes precisam ser alinhados, proporcionando um ótimo custo-benefício para esses casos. Com um enfoque em tratamentos locais e personalizados, a Cristal Aligner oferece uma solução prática e eficiente para pacientes que buscam correções menores.
FAQ
Sorriso alinhado e harmônico com conforto e praticidade? Conheça os alinhadores transparentes da Lidery Odontologia! Com tecnologia avançada, nossos especialistas elaboram um plano de tratamento personalizado para cada paciente, utilizando aparelhos confortáveis e praticamente invisíveis. Acompanhamos de perto todo o processo para garantir um sorriso perfeito no menor tempo possível. Agende já uma avaliação!
Transformações incríveis com nossos tratamentos odontológicos personalizados





Descubra mais sobre sua saude bucal com nossas ferramentas interativas