Curitiba - PR
Converse com um de nossos Dentistas
A profilaxia tem diversos benefícios para a saúde bucal e geral, como:
Negligenciar as consultas de rotina para realizar a porfilaxia pode resultar em diversas complicações a médio e longo prazo, como:
FAQ
Investir em limpezas dentárias é uma escolha inteligente para garantir a saúde e beleza do seu sorriso. A prevenção é a chave para evitar problemas dentários e manter um sorriso bonito e saudável. Entre em contato conosco e agende sua consulta para começar a cuidar do seu sorriso com a dedicação e expertise que ele merece. Estamos ansiosos para atendê-lo e ajudá-lo a alcançar a saúde bucal ideal.
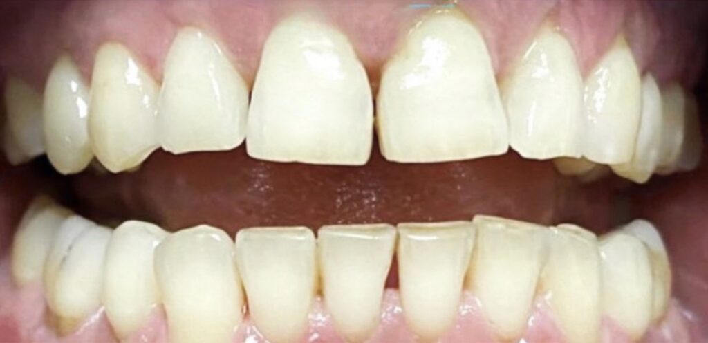
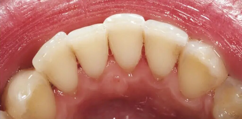
Transformações incríveis com nossos tratamentos odontológicos personalizados





Descubra mais sobre sua saude bucal com nossas ferramentas interativas