Curitiba - PR
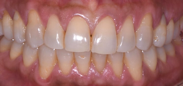
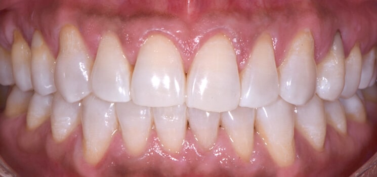
O clareamento dental é um procedimento que pode ser feito para deixar os dentes mais brancos e brilhantes. Na Lidery Odontologia, oferecemos opções de clareamento a laser, de consultório e caseiro, para atender às necessidades de cada paciente. O clareamento dental é indicado para quem deseja melhorar a aparência dos dentes e obter um sorriso mais estético e confiante. Entre em contato conosco e agende uma avaliação para saber qual o melhor método de clareamento para o seu caso.
O clareamento dental caseiro é um procedimento feito com o uso de moldeiras personalizadas e gel clareador que o paciente aplica em casa durante um período determinado pelo dentista. É indicado para pessoas que desejam clarear os dentes de forma gradual e controlada, com resultados visíveis em algumas semanas. O procedimento é seguro e pode ser feito em casa, desde que sob a supervisão do dentista. O gel clareador age na camada mais superficial do dente, removendo manchas e devolvendo o brilho natural dos dentes.
O clareamento dental no consultório é um procedimento estético que utiliza um gel clareador com maior concentração de peróxido de hidrogênio ou de carbamida para clarear os dentes. O gel é ativado por uma luz especial que ajuda a acelerar o processo de clareamento. Esse tipo de clareamento é indicado para pessoas que desejam resultados mais rápidos e efetivos, além de ser recomendado para pacientes com manchas mais resistentes ou que desejam um clareamento mais intenso. Na Lidery Odontologia, contamos com profissionais capacitados e equipamentos modernos para oferecer um tratamento de clareamento dental seguro e eficaz.
O tratamento de clareamento dental misto é uma técnica que combina o clareamento caseiro com o clareamento em consultório. Primeiramente, é realizado um molde dos dentes do paciente para a confecção de uma moldeira personalizada. Em seguida, o paciente recebe uma solução clareadora para utilizar em casa por um período determinado. Posteriormente, o paciente retorna ao consultório para realizar uma sessão de clareamento em consultório, utilizando um gel clareador mais concentrado.
FAQ
O clareamento dental é um procedimento estético que consiste na remoção de manchas e alterações de cor nos dentes, deixando-os mais brancos e luminosos. Existem diversas técnicas para realizar o clareamento dental, incluindo o clareamento caseiro com moldeiras, o clareamento no consultório com luz LED e o clareamento misto, que combina as duas técnicas. O procedimento é indicado para pessoas que desejam melhorar a aparência de seus dentes e recuperar a autoestima. O clareamento dental é seguro e eficaz quando realizado por um profissional qualificado e seguindo as orientações corretas.
Durante o procedimento de clareamento dental, pode ocorrer uma sensibilidade temporária nos dentes, que pode variar de paciente para paciente. Entretanto, a maioria dos pacientes não relata dor ou desconforto significativo durante o procedimento. É importante seguir as orientações do dentista antes e depois do procedimento para minimizar o risco de sensibilidade ou desconforto.
Durante o tratamento de clareamento dental, alguns cuidados devem ser tomados para garantir o sucesso do procedimento e evitar complicações. É importante evitar o consumo de alimentos e bebidas que podem manchar os dentes, como café, chá, refrigerantes, vinho tinto, entre outros. Além disso, é recomendado evitar o uso de cigarros e outros produtos derivados do tabaco, que podem prejudicar o clareamento e a saúde bucal em geral. É fundamental seguir as orientações do dentista responsável pelo tratamento e realizar a higiene bucal corretamente, escovando os dentes após as refeições e utilizando fio dental diariamente.
Sorria com confiança! Na Lidery Odontologia, oferecemos opções de clareamento dental para alcançar o sorriso dos seus sonhos. Nossos tratamentos são seguros, eficazes e personalizados para atender às necessidades de cada paciente. Agende uma consulta e descubra como podemos transformar seu sorriso!
Transformações incríveis com nossos tratamentos odontológicos personalizados





Descubra mais sobre sua saude bucal com nossas ferramentas interativas