Curitiba - PR
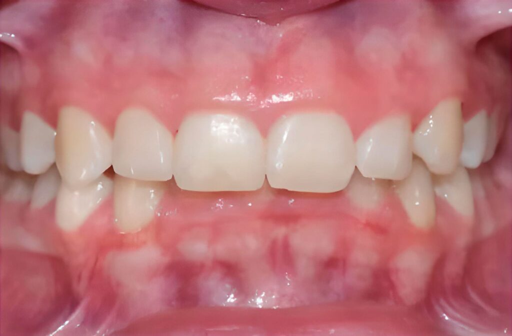
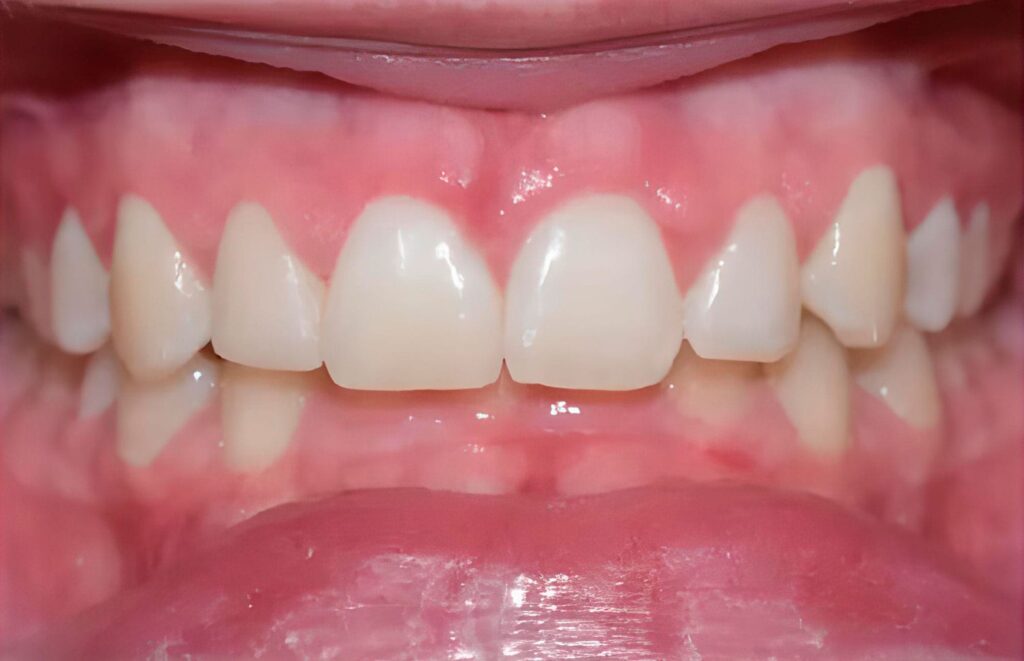
A gengivoplastia é um procedimento cirúrgico que remodela e contorna a gengiva para melhorar a aparência e a saúde bucal. Este tipo de cirurgia é indicado para pacientes que apresentam gengivas desiguais, retraídas ou excessivamente grandes. A gengivoplastia pode ser realizada para fins estéticos, para facilitar a higienização adequada ou para tratar condições como a gengivite. O procedimento é minimamente invasivo e, na maioria dos casos, requer apenas anestesia local.
A extração dos dentes do siso é um procedimento comum que envolve a remoção desses dentes quando estão causando problemas, como dor, infecção ou impactação de alimentos. Dependendo da posição do dente e da complexidade do caso, a extração pode ser simples ou envolver a remoção de dentes inclusos e impactados. Em casos mais complexos, pode ser necessário realizar uma pequena incisão na gengiva e remover parte do osso para acessar e extrair o dente.
A extração de dentes é um procedimento que envolve a remoção de um dente danificado ou comprometido. As razões para a extração incluem cáries graves, doenças periodontais, fraturas dentárias ou dentes quebrados. O dentista usará anestesia local e ferramentas adequadas para remover o dente com o mínimo de desconforto possível. Após a extração, o paciente receberá orientações sobre cuidados pós-operatórios para garantir uma recuperação adequada.
A remoção de fístulas, mucoceles e fibromas é um procedimento cirúrgico que trata lesões e crescimentos benignos na cavidade oral. Fístulas são comunicações anormais entre dois espaços, enquanto mucoceles são cistos cheios de líquido e fibromas são tumores benignos de tecido conjuntivo. A remoção dessas lesões é importante para prevenir complicações futuras e garantir a saúde bucal do paciente. O procedimento geralmente é rápido e realizado sob anestesia local.
A frenectomia é um procedimento cirúrgico que envolve a remoção ou reposicionamento do freio labial ou lingual. Essas dobras de tecido conectam os lábios à gengiva e a língua ao assoalho da boca. A frenectomia pode ser necessária quando o freio causa problemas funcionais, como dificuldades na fala, alimentação ou higienização. O procedimento é minimamente invasivo e, na maioria dos casos, requer apenas anestesia local.
A cirurgia oral é uma especialidade da odontologia que trata de procedimentos cirúrgicos na boca, como extração de dentes inclusos, tratamento de lesões orais e cirurgias de implantes dentários.
A extração dos dentes do siso é necessária quando estão causando problemas, como dor, infecção ou impactação de alimentos.
As razões para a extração incluem cáries graves, doenças periodontais, fraturas dentárias ou dentes quebrados.
Fístulas são comunicações anormais entre dois espaços, mucoceles são cistos cheios de líquido e fibromas são tumores benignos de tecido conjuntivo. A remoção dessas lesões é importante para prevenir complicações futuras e garantir a saúde bucal do paciente.
A gengivoplastia é um procedimento cirúrgico que remodela e contorna a gengiva para melhorar a aparência e a saúde bucal.
A frenectomia é um procedimento cirúrgico que envolve a remoção ou reposicionamento do freio labial ou lingual. Pode ser necessária quando o freio causa problemas funcionais, como dificuldades na fala, alimentação ou higienização.
Sim, a Lidery Odontologia possui uma equipe altamente qualificada e equipamentos modernos para realizar cirurgias orais em Curitiba
Basta entrar em contato com a clínica para agendar uma consulta e receber uma avaliação personalizada para o seu caso.
Transformações incríveis com nossos tratamentos odontológicos personalizados





Descubra mais sobre sua saude bucal com nossas ferramentas interativas